PFNA Excellence: Modern Fixation for a Femur Fracture

Background: Growing Orthopedic Expertise in India

India’s orthopedic landscape is advancing rapidly, with the demand for dependable implants growing year after year. In this momentum of innovation and improved patient care, we recently completed a Diaphyseal Segment Femur Simple Transverse Fracture surgery in Pune—reflecting both the country’s rising expertise and the increasing need for strong, modern orthopedic solutions.

Case Overview:

At a leading orthopedic center in Pune, a diaphyseal simple transverse femur fracture was managed with sharp precision and decisive surgical planning. After a quick yet thorough assessment, surgical fixation was chosen as the ideal approach—resulting in a strong, stable outcome and a patient beginning recovery with confidence from day one.

Case Introduction

Patient Profile

  • Gender: Female
  • Age: 58 years
  • Weight: 70 kg

She arrived with severe pain in the mid-thigh region after trauma and was unable to bear weight on her right leg. Examination revealed noticeable swelling along the femoral shaft, marked tenderness, and clear instability at the fracture site. Her limb appeared slightly shortened with external rotation, and even small movements caused sharp pain. These findings were strongly suggestive of a Diaphyseal Segment Femur Simple Transverse Fracture.

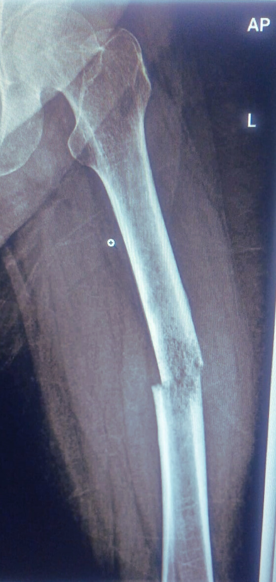
Preoperative Findings:

X-ray revealing a clear diaphyseal transverse break

Surgical Procedure:

The surgery was successfully performed using Samay Surgical’s PFNA System, chosen for its biomechanical strength and trusted performance in femoral fractures. Preoperative planning ensured perfect alignment, implant sizing, and entry point selection.

The ergonomically designed instrument set from Samay Surgical allowed the surgical team to work with remarkable precision—smooth reduction, controlled reaming, and effortless nail insertion. Each instrument supported fast transitions, reducing intraoperative time and enhancing accuracy.

Intraoperative fluoroscopy confirmed excellent fracture reduction and stable PFNA placement. Postoperative imaging further validated the implant’s optimal position, ensuring strong fixation and supporting a confident, accelerated recovery.

Postoperative image & Recovery:

X-ray demonstrating accurate PFNA placement across the transverse femoral fracture

Recovery:

After PFNA fixation, her pain gradually reduced and mobility improved within days. Early physiotherapy helped restore movement, and X-rays showed progressive healing by 4–6 weeks. She advanced from partial to full weight-bearing as the fracture strengthened, eventually regaining stable walking and returning to normal activities with good functional recovery.

Implant specification:

Implant Material Size
P.F.N.A. Long Left Titanium GR.5 11.0*400mm
P.F.N.A. Nail Blade Titanium GR.5 85mm
4.9mm Inter-Locking Screw Titanium GR.5 4.3mm*32mm
Top Left Tray
Bottom Left Tray
Right Tall Tray

Instrument set – Expert tibia instrument set:

The surgery was performed using Samay Surgical’s highly precise PFNA Instrument Set, known for its smooth handling and perfect compatibility. Its ergonomic design, reliable targeting system, and superior build quality allowed fast, accurate nail insertion—reflecting Samay Surgical’s commitment to excellence and trusted performance in every procedure.

Here is more information regarding Surgery:

Top Left Tray
Bottom Left Tray
Top Left Tray
Bottom Left Tray

Surgeon feedback:

The surgeon highlighted that Samay Surgical’s PFNA instrumentation delivered exceptional precision, control, and comfort throughout the procedure. He noted that the targeting system aligned effortlessly, the instruments handled smoothly even during critical steps, and the overall workflow became significantly faster and more efficient. He emphasized that such reliability and engineering quality not only boosted surgical confidence but also contributed to a cleaner reduction and a highly stable fixation. According to him, Samay Surgical’s system truly elevates the surgical experience and stands out for its consistent performance.

Clinical outcome:

Her recovery progressed smoothly with steady pain reduction and improved limb stability. Follow-up X-rays confirmed proper alignment and promising early healing. The Samay Surgical PFNA nail played a vital role, offering excellent stability, precise fit, and reliable locking, which supported faster mobilization and confident weight-bearing. She regained a stable gait and functional movement within the expected recovery period, reflecting a successful overall outcome.

Frequently Asked Questions:

1. What is a Diaphyseal Segment Femur Simple Transverse Fracture?

It is a clean, straight-line break across the mid-shaft of the femur, often caused by high-impact trauma.

2. Why was PFNA chosen for this surgery?

The PFNA system offers excellent biomechanical stability, secure locking, and minimal soft-tissue disruption—ideal for diaphyseal femur fractures.

3. What makes Samay Surgical’s PFNA nail reliable?

It provides precise anatomical fit, strong fixation, and high-grade titanium construction, ensuring stability and faster rehabilitation.

4. Are Samay Surgical’s PFNA implants and instruments certified?

Yes. Samay Surgical’s orthopedic implants and instruments are manufactured under ISO 13485–certified quality systems, follow CE regulatory compliance, and meet FDA-relevant biocompatibility and material standards. These certifications ensure international-level safety, precision, and reliability in every product.

5. Are Samay Surgical’s instruments corrosion-resistant?

Yes. The instruments undergo surface treatments and passivation processes to ensure excellent corrosion resistance and long-term durability.

6. What materials are used in Samay Surgical PFNA nail ?

The PFNA nail is made from Titanium Grade 5 for strength and biocompatibility.

7. How long does full bone healing take?

Complete healing may take 3–4 months, though early healing begins at 4–6 weeks.